Hati-Hati, Penyakit Baru "Difteri" Mewabah di Indonesia dan Sudah Banyak Korban Jiwa
Penulis Unknown | Ditayangkan 06 Dec 2017
Penyakit baru mematikan....Jangan sampai ANDA terjangkit
Apa sih difteri itu kok bisa bahaya bagi kesehatan? untuk lebih jelasnya lagi, simak penjelasannya ini. Agar kamu bisa mengenali gejalah dan cara penyembuhannya.
Mengutip kliknews, Kementrian Kesehatan sudah menetapkan "difteri" dengan kejadian luar biasa (KLB).
Sebab, hingga November 2017 lalu, penyakit yang disebabkan oleh bakteri Corynebacterium Diptheriae ini sudah memakan puluhan korban jiwa di 20 provinsi.
Terdata, kasus ini sudah mewabah di 95 kabupaten dan kota dari 20 provinsi. Totak terdapat 622 kasus, dan 32 di antaranya dinyatakan meninggal dunia.
Baca Juga : Mengenal Beberapa Penyakit yang Diderita Adam Fabumi. Agar Bunda Tau Gejalanya
Pada kurun waktu Oktober hingga November 2017, ada 11 Provinsi yang telah ditetapkan sebagai KLB difteri, seperti Sumatera Barat, Aceh, Jawa Tengah, Sumatera Selatan, Kalimantan Timur, Sulawesi Selatan, Riau, DKI Jakarta, Banten, Jawa Timur dan Jawa Barat.
Data Kementerian Kesehatan menunjukkan, di Pulau Sumatera sudah terjadi 114 kasus, 5 di antaranya meninggal dunia. 474 kasus terjadi di Jawa, 26 di antaranya meninggal dunia.
Di Kalimantan telah terjadi 13 kasus, dan satu meninggal dunia. Di Pulau Sulawesi ada 11 kasus, dan Papua hanya satu kasus.
Guru Besar Tetap Fakultas Kedokteran Universitas Indonesia (UI) Jose Rizal Latief Batubara menjelaskan, difteri adalah penyakit infeksi yang disebabkan bakteri Corynebacterium Diptheriae.
Baca Juga : Pria 30 Tahun ini Idap Penyakit Langka Sampai Fisiknya-Pun Seperti Masih Balita
Bakteri ini menular dan berbahaya karena bisa mengakibatkan kematian, lantaran menimbulkan peradangan pada lapisan dinding jantung bagian tengah, gagal ginjal, gagal sirkulasi, gagal napas.
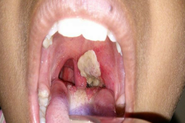
“Difteri itu gejalanya radang saluran nafas, ada selaput putih dan gampang berdarah, dan toksinnya itu yang bahaya, bikin kelainan jantung, meninggal,” katanya.
Adapun gejala dan tandanya berupa demam yang tidak begitu tinggi, 38ºC, munculnya selaput di tenggorokan berwarna putih keabu-abuan yang mudah berdarah jika dilepas, sakit saat menelan, adakalanya diikuti sesak napas dan suara mengorok.